Düsseldorf 16.3.2021
Der AAD-Kongress 2021 verbindet das bewährte, umfangreiche Themenangebot mit neu entwickelten, kompakteren Kursstrukturen.
Die digitale Fortbildungstagung umfasst mehr als 200 Kurse und Vorlesungen für Fachärzte und Weiterbildungsassistenten sowie Fortbildungen für augenärztliches Assistenzpersonal.
Die digitale Pressemappe gibt einen Einblick in ausgewählte Themen der Tagung.
Berufsverband der Augenärzte Deutschlands
Pressereferat
Tersteegenstr. 12
40474 Düsseldorf
Telefon: 0221 4303700
E-Mail: pressekontakt@augeninfo.de
AAD 2021 online
AAD-Kongress in bewährter Themenbreite und innovativer Struktur
Digitale Fortbildungstagung vom 17. bis 20. März
Düsseldorf 16.03.2021 – AAD-Kongress 2021 online: Die Augenärztliche Akademie Deutschland ist vorübergehend in den virtuellen Raum umgezogen. Wegen der COVID-19 Pandemie ist eine Präsenzveranstaltung nicht möglich; stattdessen findet von Mittwoch, 17. März, bis Samstag, 20. März, eine digitale Fortbildungsveranstaltung statt.
Der AAD-Kongress 2021 verbindet das bewährte, umfangreiche Themenangebot mit neu entwickelten, kompakteren Kursstrukturen. Die digitale Fortbildungstagung umfasst mehr als 200 Kurse und Vorlesungen für Fachärzte und Weiterbildungsassistenten sowie Fortbildungen für augenärztliches Assistenzpersonal.
Langfristige Auswirkungen auf die augenärztliche Versorgung
Die digitale Pressemappe gibt einen Einblick in ausgewählte Themen der Tagung. Auch in den schwierigen Zeiten der Pandemie haben die Augenärzte in Deutschland die ophthalmologische Regelversorgung aufrecht erhalten, das betont Dr. Peter Heinz, der erste Vorsitzende des Berufsverbands der Augenärzte Deutschlands (BVA) der gemeinsam mit der Deutschen Ophthalmologischen Gesellschaft (DOG) den AAD-Kongress veranstaltet. COVID 19 wird auch langfristig gravierende Auswirkungen auf die augenärztliche Versorgung haben, die heute noch kaum abzusehen sind.
Epiretinale Gliose: Besseres Verständnis dank innovativer Bildgebung
Das Bestreben der Augenheilkunde, Augenkrankheiten früh zu erkennen, sie wirksam zu behandeln und das Augenlicht der Patienten zu erhalten, bleibt davon unberührt. Beispielsweise gehört die epiretinale Gliose zu den Augenkrankheiten, die mit zunehmendem Alter häufiger werden. Moderne Bildgebungsverfahren haben das Verständnis der krankhaften Prozesse erheblich erweitert, berichtet Prof. Dr. Ricarda G. Schumann, München. Minimalinvasive chirurgische Verfahren bieten heute die Aussicht auf eine Stabilisierung oder sogar Verbesserung des Sehvermögens bei dieser Krankheit.
Neue Therapieoptionen bei endokriner Orbitopathie
Eine schwere Belastung stellt die endokrine Orbitopathie für die betroffenen Patienten dar. Entzündungen und Schwellungen in der Augenhöhle – meist im Zusammenhang mit einer Schilddrüsenerkrankung – verursachen Schmerzen, bedrohen das Sehvermögen und verändern das Aussehen der Patienten. Prof. Dr. Anja Eckstein, Essen, gibt einen Einblick in neue Therapieoptionen, die dazu beitragen können, dass sich die Lebensqualität der Patienten deutlich verbessert.
Therapie des Glaukoms jenseits der Senkung des Augeninnendrucks
Prof. Dr. Verena Prokosch-Willing, Köln, erläutert neue Erkenntnisse zum Glaukom (Grüner Star). Bisher steht bei der Glaukom-Therapie die Senkung des Augeninnendrucks im Vordergrund. Moderne Behandlungsansätze zielen nun auf den Schutz des Sehnervs ab. Mit einer Gentherapie scheint sogar eine Regeneration des Sehnervs möglich; entsprechende Hinweise geben Forschungen an Tiermodellen.
Liderkrankungen betreffen oft auch die Hornhaut des Auges
Erkrankungen der Augenlider haben häufig Auswirkungen auf die gesamte Augenoberfläche, insbesondere auf die Hornhaut des Auges. Dieses komplexe System hat Prof. Dr. Elisabeth M. Messmer, München, im Blick. Die Behandlung kann je nach Krankheit viel Geduld erfordern.
Pressemappe:
Augenheilkunde in schwierigen Zeiten
Langfristige Auswirkungen der Pandemie nicht absehbar
COVID 19 – dieses Thema würden die meisten Menschen gerne schnell abhaken und doch kommt auf absehbare Zeit niemand daran vorbei. Ebenso wenig wie die langfristigen Auswirkungen auf die Gesundheit der betroffenen Patienten abschließend beurteilt werden können, lassen sich heute die Auswirkungen auf das Gesundheitswesen einschätzen. Eindeutig ist nur: Sie sind gravierend. Aus Sicht der niedergelassenen Augenärzte lässt sich heute dazu sagen:
1.
Die Fallzahlen, die im Frühjahr 2020 dramatisch einstürzten – bayerische Augenärzte beispielsweise hatten im ersten Halbjahr 2020 einen Rückgang der Fallzahlen von 15 Prozent verglichen mit dem Vorjahr – werden das Niveau der Vor-Corona-Zeit noch lange nicht wieder erreichen.
2.
Mit einer enormen Kraftanstrengung ist es Augenärztinnen und Augenärzten mit ihren Praxisteams gelungen, die ophthalmologische Regelversorgung aufrecht zu erhalten – trotz des anfangs gravierenden Mangels an Schutzausrüstung.
3.
Der Aufwand für die Behandlung jedes einzelnen Patienten ist enorm gestiegen. Alleine die Mehrkosten und der organisatorische Mehraufwand für zusätzliche Hygienemaßnahmen sind erheblich. Die gesetzlichen Krankenkassen erkennen diese Kosten jedoch bis heute nicht an.
4.
Neue Wege der Patientenbetreuung werden erprobt – von der ausführlichen telefonischen Beratung bis hin zur Videokonsultation. Gerade in der Augenheilkunde zeigt sich aber immer wieder, dass die Telemedizin ihre Grenzen hat und die persönliche Untersuchung in der Augenarztpraxis dann oft doch zwingend notwendig ist.
5.
COVID 19 hat nichts daran geändert, das der Bedarf an augenärztlichen Leistungen groß ist und weiter steigt. Augenkrankheiten wie das Glaukom (Grüner Star), die Katarakt (Grauer Star) und die Altersabhängige Makuladegeneration (AMD) und nicht zuletzt die Kontrollen beim Vorliegen diabetischer Netzhautschädigungen betrifft ältere Menschen besonders häufig. Diese Patienten, die bei einer Ansteckung mit COVID 19 ein erhöhtes Risiko für einen schweren Krankheitsverlauf haben, scheuten sich im vergangenen Jahr, dringend notwendige Kontrolluntersuchungen wahrzunehmen. Damit birgt die Pandemie auch das Risiko, dass Patienten einen vermeidbaren dauerhaften Sehverlust erleiden.
6.
Augenärzte und ihre Mitarbeiter müssen den Patienten für die Augenuntersuchungen nahe kommen. Sie haben mit viel Kreativität und Aufwand die Untersuchungsplätze so umgestaltet, dass das Infektionsrisiko so weit wie möglich reduziert wird, sie tragen Schutzausrüstung und halten sich konsequent an Hygieneregeln. Und doch bleibt eine erhöhte Infektionsgefahr für die Untersuchenden. Die Ständige Impfkommission (STIKO) des Robert Koch-Instituts (RKI) urteilte daher, dass das medizinische Personal in Augen- und HNO-Praxen wegen „aerosolgenierenden oder gesichtsnahen Tätigkeiten“ in der Priorisierung unmittelbar nach hochbetagten Personen und intensivmedizinisch tätigen Ärztinnen und Ärzten einzustufen sei (1).
7.
Trotz dieser Gefahr sind Augenärzte in vielen Bundesländern in der Priorisierung für Impfungen zunächst nach hinten gerutscht. Der Berufsverband der Augenärzte fordert, dass die Gesundheitspolitik ihrem erhöhten Risiko Rechnung trägt und ihnen so rasch wie möglich die Impfung ermöglicht.
8.
Der finanzielle Schutzschirm, mit dem die Bundesregierung nicht nur Krankenhäuser, sondern auch die ambulante medizinische Versorgung sicherte, ist für den ambulanten Bereich zum 31.12.2020 ausgelaufen. Obwohl die Kassenärztliche Bundesvereinigung, der Spitzenverband der Fachärzte Deutschlands und auch Berufsverband der Augenärzte wie viele andere ärztliche Verbände gefordert hatte, dass die Regelung verlängert wird, wurde lediglich eine Mogelpackung als „Schutzschirm“ von der Politik verabschiedet. Letzten Endes sollen die Ärzte ihren Schutzschirm nämlich selbst bezahlen. Das zeugt nicht von Anerkennung unserer Leistungen, die wir im Rahmen dieser Pandemie für die gesamte Gesellschaft erbracht haben und erbringen.
9.
Wie der Rest der Gesellschaft ist auch der BVA in Pandemie notgedrungen „digitaler“ geworden: Nicht nur die Augenärztliche Akademie findet online statt. Qualitätszirkel, regionale und überregionale Gremien treffen sich bei Videokonferenzen, Seminare und Prüfungen laufen online. Vieles davon bewährt sich und wird auch in der Corona-freien Zukunft erhalten bleiben.
10.
Die berufspolitische Arbeit des BVA beschränkt sich bei weitem aber nicht nur auf COVID 19. Ob die übereilte Einführung der Telematikinfrastruktur, die geplante Änderung der Approbationsordnung, die geforderte Neubewertung des operativen Kapitels im Einheitlichen Bewertungsmaßstab (EBM) oder die neue Gebührenordnung für Ärzte (GOÄ), die mit so vielen Mängeln behaftet ist, dass die Augenärzte nur hoffen können, dass die alte GOÄ noch lange in Kraft bleibt: Das deutsche Gesundheitswesen umfasst zahlreiche Herausforderungen für die niedergelassenen Augenärzte.
Dr. Peter Heinz
1. Vorsitzender des Berufsverbands der Augenärzte Deutschlands e.V.
Tersteegen Str. 12
D – 40474 Düsseldorf
Tel.: (02 11) 4 30 37 00
Fax: (02 11) 4 30 37 20
E-mail: bva@augeninfo.de
www.augeninfo.de
- Vygen-Bonnet S, Koch J, Bogdan C, Harder T, Heininger U, Kling K, Littmann M, Meerpohl J, Meyer H, Mertens T, Schmid-Küpke N, Scholz S, Terhardt M, Treskova-Schwarzbach M, Überla K, van der Sande M, Wichmann O, Wicker S, Wiedermann U, Wild V, von Kries R: Beschluss der STIKO zur 1. Aktualisierung der COVID-19-Impfempfehlung und die dazugehörige wissenschaftliche Begründung, Epid Bull 2021;2:64 -132 | DOI 10.25646/7820
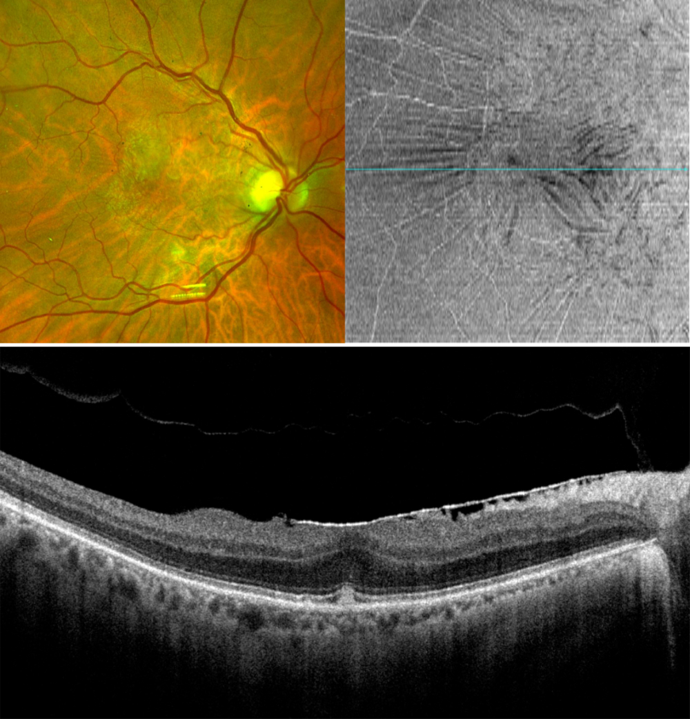
Epiretinale Gliose
Wenn Membranen an der Netzhaut ziehen
Die Sehschärfe nimmt ab, gerade Linien erscheinen verzerrt: Diese Symptome sind typisch für verschiedene Erkrankungen der Netzhaut, die die Makula, die Stelle des schärfsten Sehens betreffen. Zu ihnen gehört die epiretinale Gliose, eine Krankheit, die mit zunehmendem Alter häufiger auftritt und die Patienten je nach Ausprägung sehr belasten kann. Die moderne bildgebende Diagnostik der Netzhaut hat in den vergangenen Jahren das Wissen über diese Krankheit enorm erweitert und individuell abgestimmte Therapieentscheidungen ermöglicht.
Der Name „epiretinale Gliose“ verbindet griechische und lateinische Begriffe: „Epi“ ist die griechische Vorsilbe „auf“, das lateinische „rete“ bedeutet „Netz“, das griechische „glia“ „Leim“. Bei der epiretinalen Gliose bildet sich eine Membran, die an einigen Stellen an der Netzhaut klebt und auf sie Zug ausüben kann. Sie entsteht häufig durch altersbedingte Veränderungen des Glaskörpers im Auge, sie kann aber auch die Folge anderer Krankheiten der Netzhaut oder des Glaskörpers sein. Dazu gehören etwa die diabetische Retinopathie, der retinale Venenverschluss oder entzündliche Netzhauterkrankungen.
Alterung des Glaskörpers
Der Glaskörper (Corpus vitreum) ist eine klare, gelartige Masse, die den größten Teil der Augenhöhle ausfüllt. Er besteht zum größten Teil aus Wasser, darin befinden sich Salze, Kollagenfasern und weitere Stoffe, beispielsweise Hyaluronsäure. Im Alter von etwa 40 Jahren setzt bei den meisten Menschen die normale Alterung des Glaskörpers ein: Der Glaskörper verflüssigt sich durch eine Zunahme von Hyaluronsäure und einer Abnahme von Kollagen. Gleichzeitig wird die innere Grenzmembran (internal limiting membrane, ILM), die den Glaskörper zur Netzhaut hin abschließt, dicker. Schließlich nimmt der Gehalt des Bindungsproteins Laminin ab. Die Folge ist, dass sich der Glaskörper im hinteren Bereich des Auges nach und nach von der Netzhautoberfläche ablöst, so dass er schließlich keinen Kontakt mehr zur Netzhautmitte hat.
Krankhafte Membran
Nicht immer gelingt die völlige Ablösung des Glaskörpers. Wenn Stellen erhalten bleiben, an denen er an der Netzhaut haftet, können Zugwirkungen entstehen, sogenannte Traktionen. Sie fördern das Wachstum mehrschichtiger Membranen. Bei der epiretinalen Gliose kommt es häufig zusätzlich zu einer Spaltung der hinteren Glaskörperrinde parallel zur Netzhautoberfläche. So verbleiben Kollagen- und andere Zellen an der ILM. Sie begünstigen die Bildung der epiretinalen Membranen zusätzlich. Diese Membran kann erheblichen Zug auf die Netzhaut ausüben. Diese kann dann Falten bilden oder sich sogar von den darunterliegenden Schichten abheben.
Die wichtigsten Symptome
Zunächst ruft die epiretinale Gliose keine Symptome hervor. Wenn sie fortschreitet, erleben die Betroffenen eine allmähliche Abnahme der Sehschärfe. Zusätzlich können Metamorphopsien auftreten: Gerade Linien erscheinen krumm. Das beidäugige Sehen kann dadurch stark beeinträchtigt werden. Die Patienten empfinden subjektiv sehr unterschiedliche Beschwerden – manche nehmen fast gar keine Sehminderung war, andere fühlen sich in ihrem täglichen Leben erheblich beeinträchtigt.
Untersuchungen beim Augenarzt
In der Augenarztpraxis werden beide Augen des Patienten gründlich untersucht. Zunächst wird der bestkorrigierte Visus festgestellt und es erfolgt eine Prüfung auf Metamorphopsien, zum Beispiel anhand des Amsler-Tests. Zudem werden die Pupillen mit Hilfe von Augentropfen erweitert und es erfolgt eine stereoskopische Ophthalmoskopie. Bei dieser Methode der Augenspiegelung gewinnt der Augenarzt/die Augenärztin ein dreidimensionales Bild der Netzhaut.
Multimodale Bildgebung
Eine große Bedeutung haben bildgebende Verfahren, um eine epiretinale Gliose zu diagnostizieren und Entscheidungen über eine eventuelle Behandlung zu treffen. Die Makula wird mittels SD-OCT (spectral Domain Optical Coherence Tomography) untersucht. Zusätzliche Erkenntnisse können weitere Untersuchungsmethoden bieten: konfokale Scanning Laser Ophthalmoskopie (SLO) mit Infrarot-Darstellung oder Multicolordarstellung und schließlich die Fundusautofluoreszenz. Fotografien des Augenhintergrundes sind zur Verlaufskontrolle vor und nach einer Therapie sinnvoll.
Die SD-OCT ist ein nicht-invasives, die Patienten wenig belastendes Verfahren, bei dem Schnittbilder der Netzhautschichten in einer hohen Auflösung (5 bis 7 µm) entstehen. Die SLO bietet bei der Multicolordarstellung, die mehrere Laserfarben zu einer einzelnen Darstellung kombiniert, zusätzliche Möglichkeiten. Epiretinale Membranen sind damit schon frühzeitig zu erkennen, auch wenn sie noch nicht stark ausgeprägt sind. Kombiniert man die SD-OCT mit der SLO, entsteht eine EnFace OCT, also zusätzlich zum Schnittbild eine Aufnahme von vorne, auf der sich Netzhautfalten besonders gut erkennen lassen. Die Fundusautofluoreszenz kann darüber hinaus Veränderungen in oder unter der Netzhaut deutlich machen, die durch die epiretinale Gliose verursacht werden. Schließlich kann, um andere Augenkrankheiten auszuschließen, eine Angiographie sinnvoll sein. Dabei wird ein Farbstoff in eine Vene injiziert, um anschließend Fotos der Netzhaut zu machen. Durch die Anreicherung des Farbstoffs in den Blutgefäßen lässt sich erkennen, ob es Leckagen oder andere krankhafte Veränderungen an den Gefäßen gibt.
Große Bandbreite – individuelle Therapieentscheidungen
Diese detaillierten Möglichkeitern, die Veränderungen im Auge darzustellen, haben in den vergangenen Jahren das Wissen über die epiretinale Gliose stark erweitert und sind heute eine gute Grundlage für individuelle Therapieentscheidungen. Die epiretinale Gliose weist eine sehr große Bandbreite auf sowohl hinsichtlich der Ursache als auch hinsichtlich des Schweregrades und des Fortschreitens der Krankheit. All diese Aspekte fließen in die Entscheidung über die Behandlung ein, außerdem die subjektiv wahrgenommenen Symptome und der Leidensdruck des Patienten, sein Allgemeinzustand und eventuell vorhandene (Augen)erkrankungen, die zu berücksichtigen sind.
Spontane Besserung möglich
Die Membranen können über Jahre hinweg stabil sein und Symptome wenig ausgeprägt – dann ist es sinnvoll abzuwarten und den Verlauf bei regelmäßigen Untersuchungen zu kontrollieren. Auch spontane Besserungen sind möglich, das sollten die Patienten wissen und berücksichtigen. Andererseits ist eine rasche Zunahme der Beschwerden ist möglich. Unter Umständen ist es notwendig zunächst die der Gliose zugrundeliegende Erkrankung zu behandeln.
Chirurgische Therapie
Die Therapie der Wahl bei einer symptomatischen epiretinalen Gliose ist die pars-plana-Vitrektomie und die Entfernung der Membranen. Um das Risiko von Rezidiven – dem Wachstum neuer epiretinaler Membranen – zu verringern, wird oft auch die innere Grenzmebran der Netzhaut vorsichtig abgeschält.
Für diesen Eingriff werden im Bereich der „pars Plana“ – einem Bereich der Augenhülle, der weder große Blutgefäße noch für die Funktion des Auges unersetzliches Gewebe enthält – feinste Schnitte gesetzt. Durch diese Öffnungen hindurch werden filigrane Geräte ins Augeninnere geführt. Über eine Infusionsleitung wird das Volumen des Auges aufrechterhalten. Eine Lichtquelle kommt hinzu und schließlich ein chirurgisches Werkzeug. Das Vitrektom beispielsweise dient der Zerkleinerung des Glaskörpers, mit einer Pinzette können die Membranen gefasst, mit Schabern können sie vorsichtig von der Netzhaut abgelöst werden. Die Membranen werden oft angefärbt, so dass sie besser zu sehen sind. Damit lässt sich eine möglichst vollständige Entfernung sicherstellen, so dass keine Reste im Auge bleiben, die zum Ausgangspunkt einer neuen Membranbildung werden könnten.
Dieses mikrochirurgische Vorgehen hat sich seit vielen Jahrzehnten bewährt und wird stetig weiterentwickelt. Ziel ist es, das Risiko von Nebenwirkungen und Komplikationen zu reduzieren. Kamen in den 80er und 90er Jahre des vergangenen Jahrhunderts noch 20-gauge Instrumente zum Einsatz, so arbeiten moderne Systeme mit 23-, 25- oder 27 gauge. Die Einheit Gauge wird in der Medizin für Hohlnadeln etc verwendet. Je höher der Wert, desto geringer ist der Außendurchmesser der Instrumente. 23 gauge entspricht einem Außendurchmesser von 0,6 mm, bei 27 gauge sind es 0,4 mm. Die Öffnungen in der Augenhülle sind dementsprechend klein und müssen nach dem Eingriff nicht genäht werden.
Komplikationen lassen sich auch bei größter Sorgfalt nicht in jedem Fall vermeiden. In ein bis sechs Prozent der Fälle treten Netzhautdefekte auf und in der Folge kann es zu einer Netzhautablösung kommen. Auch die Möglichkeit einer Linsentrübung ist gegeben, falls die Patienten nicht bereits eine Kataraktoperation hatten. Eine Endophthalmitis – eine Entzündung im Augeninneren – und ein zystoides Makulaödem (CMÖ) sind weitere mögliche Komplikationen, über die die Patienten vor dem Eingriff aufzuklären sind.
Ausführliche Aufklärung
Die Beratung und Aufklärung der Patienten spielt vor der pars-plana-Vitrektomie eine große Rolle. Angesichts der Möglichkeit einer spontanen Besserung ist die Strategie des beobachtenden Zuwartens zu erwägen. Andererseits ist darauf hinzuweisen, dass der Zustand auch rasch schlechter werden kann, wenn man zu lange wartet. Falls die Patienten noch „phak“ sind, im Auge also noch die natürliche Linse ist, gilt es zu überlegen, ob der Eingriff mit einer Kataraktopertation kombiniert wird, da es nach einer Vitrektomie häufig zu einer Linsentrübung kommt.
Wichtig ist auch, dass sich die Patienten der langen Erholungsphase bewusst sind. In einzelnen Fällen waren auch nach mehr als drei Jahren noch Verbesserungen des Sehvermögens festzustellen. Mindestens sechs bis zwölf Monate muss man aber auf jeden Fall abwarten, um die Sehfunktion zu beurteilen. Direkt nach dem Eindruck kann es vorübergehend sogar zu einer Sehminderung kommen. Insgesamt ist die Prognose für die Patienten aber gut: In 70 bis 90 Prozent der Fälle kann eine Stabilisierung oder Verbesserung der zentralen Sehschärfe erreicht werden.
Fazit
Die epiretinale Gliose ist Augenkrankheit, die mit zunehmendem Alter häufig auftritt. Sowohl das Krankheitsbild als auch die subjektiven Beschwerden weisen eine große Bandbreite auf. Moderne Bildgebungsverfahren haben zu einem besseren Verständnis der krankhaften Prozesse geführt. Sie sind heute eine gute Grundlage für individuelle Therapieempfehlungen. Mit minimalinvasiven chirurgischen Methoden werden der Glaskörper des Auges und die Membran entfernt. Die Aussichten auf eine Stabilisierung oder sogar Verbesserung des Sehvermögens nach dem Eingriff sind gut.

Prof. Dr. Ricarda Gisela Schumann
Augenzentrum im Brienner Hof
Prof. Kampik & Kollegen
Brienner Straße 12
80333 München
Tel: 089 / 85633470
Fax: 089 / 856334729
E-Mail: ricarda.schumann@med.uni-muenchen.de
Quelle:
Stellungnahme des Berufsverbandes der Augenärzte Deutschlands, der Deutschen Ophthalmologischen Gesellschaft und der Retinologischen Gesellschaft zur Entwicklung, Diagnostik und Behandlung der epiretinalen Gliose
Stand Oktober 2020
Link zum Download: https://augeninfo.de/cms/fileadmin/stellungnahmen/epiretinale_Gliose_Okt_2020.pdf
Aktuelle Therapieoptionen bei endokriner Orbitopathie
Neue Behandlungen in Sicht
Die endokrine Orbitopathie ist eine Autoimmunkrankheit, die die Betroffenen stark belasten kann. Sie führt zu Entzündungen und Schwellungen in der Augenhöhle (Orbita). In den meisten Fällen tritt sie zusammen mit einer Fehlfunktion der Schilddrüse, dem Morbus Basedow auf. Die Krankheit kann das Sehvermögen bedrohen und die Lebensqualität vor allem auch durch das verändertes Aussehen der Betroffenen – in den meisten Fällen sind es Frauen – sehr stark beeinträchtigen. Das Wissen über die Krankheit und über Risikofaktoren für ihre Entwicklung beziehungsweise ihr Fortschreiten hat sich in den vergangenen Jahren aber deutlich erweitert. Auch neue Behandlungsmöglichkeiten werden entwickelt und bieten die Aussicht, dass sich die Krankheit besser in den Griff bekommen lässt. Die Behandlung schwerer Krankheitsformen bleibt aber eine Herausforderung.
Autoantikörper gegen das Schilddrüsen-Hormon TSH
Bei dieser Autoimmunerkrankung bildet der Körper Antikörper gegen die Rezeptoren für das Hormon TSH, das maßgeblich das Schilddrüsenwachstum beeinflusst. Diese Rezeptoren finden sich auch in der Augenhöhle. Deshalb tritt die endokrine Orbitopathie (EO) besonders häufig zusammen mit dem Morbus Basedow auf, der zu einer Schilddrüsenüberfunktion führt. Seltener wird die EO bei einer Hashimoto-Thyreoiditis, einer chronischen Entzündung der Schilddrüse oder gänzlich ohne eine Erkrankung der Schilddrüse beobachtet. In der Orbita führt die Erkrankung zur Bildung von Fettgewebe sowie zu einem Anschwellen der Augenmuskeln und des Bindegewebes.
Symptome
Die Entzündung verursacht Schmerzen und ein Druckgefühl hinter den Augen. Auch Augenbewegungen sind schmerzhaft. In Lidern und Bindehaut finden sich Flüssigkeitseinlagerungen (Ödeme) und sie sind gerötet. Der Augapfel kann hervortreten (Exophthalmus), dadurch wird der Lidschluss erschwert bis unmöglich, so dass die Hornhaut nicht mehr benetzt wird und Hornhautgeschwüre (Ulzera) entstehen können. Die Beweglichkeit der Augen und des Lidhebermuskels wird durch die Krankheit eingeschränkt. Starrer Blick und Doppelbilder (Diplopie) sind die Folge. Die Gewebe-Zunahme in der Augenhöhle kann schließlich auch auf den Sehnerv Druck ausüben, so dass Gesichtsfeldausfälle entstehen, die Sehschärfe und das Farbensehen werden beeinträchtigt bis hin zur Gefahr der Erblindung.
Aktivität und Schweregrad der Krankheit beobachten
Schwere Formen der EO treten selten auf. Wenn eine Schilddrüsenüberfunktion bei Morbus Basedow diagnostiziert wird, findet sich bei drei Vierteln der Betroffenen noch kein Hinweis auf eine Beteiligung der Augen. Doch bei einem Teil der Patienten entwickelt sich die Augenkrankheit erst im weiteren Verlauf (ca 15%). Für die individuelle Therapie ist es wesentlich, das Stadium und die Aktivität der Erkrankung zu beurteilen. Von einer milden EO ist die Rede, wenn die Lidretraktion höchstens zwei Millimeter beträgt, der Exophthalmus nicht mehr als drei Millimeter und wenn die Augenbeweglichkeit nur schwach beeinträchtigt ist. Das Allgemeinbefinden ist in diesen milden Fällen nicht stark beeinträchtigt. Ein moderates Stadium ist durch eine Lidretraktion von mehr als zwei Millimetern gekennzeichnet, eine stärkere Beteiligung des Weichteilgewebes, einen Exophthalmus von mehr als drei Millimetern und eine deutliche Einschränkung der Augenbeweglichkeit. Eine das Sehvermögen bedrohende EO liegt vor, wenn der Sehnerv komprimiert wird und/oder es durch den fehlenden Lidschluss zu Hornhautschäden kommt.
Die Krankheitsaktivität lässt sich an subjektiven Parametern wie Schmerzen und Druckgefühl hinter den Augen ablesen und an objektiven Entzündungszeichen wie Schwellungen und Rötungen der Lider, der Bindehaut und der Karunkel (ein knötchenförmiges Gebilde im nasenseitigen Lidwinkel). Auch die Zunahme des Exophthalmus, die Abnahme der Augenbeweglichkeit und eine Abnahme der Sehschärfe deuten auf eine Aktivität der EO hin.
Wie wird eine aktive EO behandelt?
Die Therapie der EO ist eine Herausforderung und erfolgt häufig in spezialisierten Zentren. Die interdisziplinäre Zusammenarbeit von Augenärzten mit Kollegen anderer Disziplinen wie Allgemeinärzten und Endokrinologen spielt dabei eine große Rolle. Wichtig ist es, die Entzündungsaktivität möglichst früh und wirksam zu unterbinden. Rauchen, hohe Anti TSH Rezeptor Autoantikörperspiegel und eine schlecht eingestellte Schilddrüsenfunktion steigern das Risiko für das Fortschreiten der EO. Deshalb steht der dringende Rat, auf Nikotin zu verzichten und die sorgfältige Kontrolle der Schilddrüsenfunktion vor allem am Beginn der Therapie. In einem frühen Stadium einer aktiven EO genügt dann häufig die Gabe von Selen, um die Entzündung zu mildern.
Bei einer moderaten bis schweren EO ist eine Behandlung mit Steroiden (intravenös) angezeigt. Hinzu kommt, wenn die Augenbeweglichkeit eingeschränkt ist, die Orbitaspitzenbestrahlung. Bisher gibt es für die Therapie der EO über Steroide hinaus keine Zulassung für Medikamente, die das Immunsystem unterdrücken. Wenn Patienten innerhalb der ersten sechs Wochen nicht auf eine Therapie mit Steroiden ansprechen, kann aber eine stärkere immunsuppressive Behandlung erwogen werden. Hier kommen verschiedene Wirkstoffe in Frage, zum Beispiel Mycophenolat-Mofetil (MMF), Rituximab, Azathioprin und Tocolizumab. Dafür muss ein Kostenübernahmeantrag für eine so genannte off label Therapie bei der Krankenkasse gestellt werden.
Hinzu kommen unterstützende Behandlungen: Benetzungsstörungen der Hornhaut können mit Tränenersatzmitteln gelindert werden, Lymphdrainage und die Behandlung mit Botulinumtoxin kann eingesetzt werden. Beim Auftreten von Doppelbildern können Prismenbrillen verordnet werden.
Drei bis sechs Prozent der Patienten entwickeln trotz maximaler entzündungshemmender Therapie eine das Sehvermögen bedrohende EO mit einer Kompression des Sehnervs. Die entzündliche Schwellung, die Bildung von Fettgewebe und das Anschwellen der Muskeln verringern die Durchblutung des Sehnervs. Diese schweren Fälle werden mit hochdosierten intravenösen Steroidgaben (drei Mal ein Gramm pro Woche über zwei Wochen) behandelt. Hilft dies nicht ausreichend muss eine Entlastungs-Operation an der Augenhöhle erfolgen (Orbitadekompression). Sie kann als Notfallmaßnahme bei einer Quetschung des Sehnervs oder bei Hornhautulzera und Lagophthalmus notwendig werden.
Neue Therapiemöglichkeiten
Sowohl Steroide als auch Immunsuppressiva können zwar die Entzündungsaktivität bremsen, eine Vollheilung ist aber selten. Meist persistieren Lidschwellung durch Fettablagerung, Exophthalmus und eingeschränkte Augenbeweglichkeit. Neue Erkenntnisse aus der Grundlagenforschung haben das Verständnis der krankhaften Vorgänge bei der EO aber erweitert. Zwischen dem TSH-Rezeptor und dem IGF-1-Rezeptor kommt es zu Wechselwirkungen durch die Bindung der TSHR-Auto Antikörper. Diese Erkenntnis führte zur Entwicklung neuer Therapieansätze: EO-Patienten werden mit Anti IGF-1-Rezeptor-Antikörpern behandelt (Teprotumumab). In klinischen Studien der Phase II und Phase III zeigte sich, dass diese Behandlung nicht nur die Aktivität der EO stoppt, sondern dass sie auch die Augenbeweglichkeit bessert und den Exophthalmus verringert. Dadurch ging die Wahrnehmung von Doppelbildern zurück. Die Lebensqualität der Studienteilnehmer besserte sich entsprechend signifikant. Die US-amerikanische Food and Drug Administration (FDA) hat Teprotumumab im Januar 2020 zugelassen. Die Zulassung in Europa wird erwartet.
Ein weiterer neuer Ansatz beruht auf der allmählichen Gewöhnung des Immunsystems an den TSHR ähnlich einer Hyposensibilisierung bei Allergien. In einer Phase I-Studie mit 10 Patienten, die an Morbus Basedow erkrankt waren, ließ sich auf diese Weise die Schilddrüsenfunktion bei zwei Dritteln der Patienten bessern. Ein Effekt auf die EO kann auch hier erwartet werden.
Behandlung der inaktiven EO
Bei Patienten ohne aktive Entzündung und einer über sechs Monate stabilen Schilddrüsenfunktion können die Folgen der EO operativ behandelt werden. Mehrere Eingriffe sind oft notwendig: Zunächst erfolgt die knöcherne Orbitadekompression mit Entfernung des orbitalen Fettgewebes. Der zweite Schritt sind Augenmuskeloperationen, zudem sind oft als letzter Schritt lidchirurgische Eingriffe notwendig. Dadurch lässt sich die Lebensqualität der Patienten erheblich steigern.
Fazit
Die endokrine Orbitopathie belastet die betroffenen Patienten schwer. Die Behandlung richtet sich nach der Schwere und der Aktivität der Erkrankung. Aktuell ist die intravenöse Behandlung mit Steroiden die Therapie der Wahl. Wenn die Patienten darauf nach sechs Wochen nicht ansprechen, kommen immunsuppressive Medikamente zum Einsatz. Mit Steroiden und Immunsuppressiva lässt sich zwar die Entzündung stoppen, bereits eingetretene Folgen lassen sich damit aber nicht vollständig rückgängig machen. Deshalb werden in der inaktiven Phase der Therapie operative Eingriffe notwendig. Neue Behandlungsmöglichkeiten der EO, insbesondere die Therapie mit Teprotumumab lassen darauf hoffen, dass der Bedarf für solche schweren Eingriffe in Zukunft sinken wird und dass sich die Lebensqualität der Patienten bessern wird.
Prof. Dr. Anja Eckstein
Oberärztin (Strabologie, Neuroophthalmologie, okuloplastisch rekonstruktive Chirurgie)
Klinik für Augenheilkunde
Hufelandstr. 55
45147 Essen
Tel.: 0201 / 723 2907
Fax: 0201 / 723 6755
E-Mail: anja.eckstein@uk-essen.de
Glaukom jenseits des Augeninnendruckes
Welche neuen Erkenntnisse gibt es?
Das Glaukom ist eine der Hauptursachen für irreversible Erblindung weltweit. Insgesamt sind Schätzungen zufolge derzeit fast 80 Millionen Menschen betroffen. Im Jahr 2010 waren es noch circa 68 Millionen Patienten, davon erblindeten 6,7 Millionen. Das Glaukom ist eine altersabhängige Erkrankung. Die Inzidenz, also die Zahl der Patienten, die neu erkranken, verdreifacht sich pro Jahrzehnt Lebensalter, während die Inzidenz der Erblindung sich pro Jahrzehnt Lebensalter verzehnfacht. Aufgrund des demografischen Wandels, einschließlich einer alternden Bevölkerung, beträgt die geschätzte Zahl der Glaukompatienten im Jahr 2020 weltweit 79,6 Millionen. Daher wird mit zunehmender Alterung der Bevölkerung die Prävalenz und Bedeutung der Erkrankung steigen.
Das Glaukom ist durch einen zunehmenden Verlust von Ganglienzellen der Netzhaut (RGC) und eine Schädigung des Sehnervs mit den Axonen gekennzeichnet. Diese unterlaufen dem programmierten Zelltod der Apoptose. Hauptrisikofaktoren sind neben dem Alter der erhöhte Augeninnendruck des Patienten.
Die Therapie heute: Augeninnendruck senken
Die einzige evidenzbasierte Behandlung des Glaukoms ist derzeit die Augeninnendrucksenkung, um das Fortschreiten der Erkrankung zu verhindern. Dies geschieht dabei zunächst medikamentös oder durch Lasern. Ist dies nicht ausreichend oder nicht möglich, kann das Glaukom mit einer Operation behandelt werden. Bislang ist die Trabekulektomie der Goldstandard in der operativen Behandlung. Es hat sich gezeigt, dass eine Senkung des Augeninnendrucks um 20 bis 40 Prozent die Rate des progressiven Gesichtsfeldverlusts deutlich verringert.
Risikofaktoren jenseits des Augeninnendrucks
Bei einem erheblichen Teil der Glaukompatienten tritt jedoch trotz erfolgreicher Augeninnendrucksenkung ein Sehverlust auf. Dabei spielen Risikofaktoren eine Rolle, die nicht vom Augeninnendruck abhängig sind. Trotz der Tatsache, dass Maßnahmen zur Senkung des Augeninnendrucks das Progressionsrisiko senken und den Beginn des Glaukoms verzögern, sind die Ursachen des Glaukoms umstritten und noch nicht geklärt. Die Erkrankung wird durch momentane diagnostische Maßnahmen wie Gesichtsfeld erst spät erkannt und bleibt damit oft unentdeckt. 50 Prozent der Patienten wissen nicht, dass sie das Glaukom haben. Früherkennungsuntersuchungen mit Sehnerv-Check und Messung des Augeninnendrucks sind die einzige Möglichkeit, ein Glaukom zu erkennen, bevor ein nicht wieder gut zu machender Schaden entstanden ist. Der Bedarf an neuen Behandlungsansätzen und Neuroprotektiva (den Nerv schützenden Medikamenten) hoch.
Neue Einsichten in das Krankheitsgeschehen
In den letzten zehn Jahren hat unser Verständnis der pathophysiologischen molekularen Mechanismen des Glaukoms erheblich zugenommen. Darauf aufbauend, wurde eine Vielzahl von neuroprotektiven Mitteln vorgeschlagen, die auf molekulare Veränderungen abzielen.
Zu den Mechanismen, die einen Verlust an RGC auslösen, gehören:
(1) Exzitotoxizität, also den Tod der Nervenzelle durch andauernde Reizüberflutung
(2) oxidativer Stress, der von freien Sauserstoff-Radikalen ausgelöst wird
(3) Stickoxidschaden,
(4) Mikroglia-Überaktivierung, die eine Entzündung fördert und
(5) Apoptose.
Beim Glaukom werden giftige Substanzen wie Glutamat, reaktive Sauerstoffspezies und Stickoxid (NO) freigesetzt. Mikroglia werden überaktiviert, die Funktion der Mitochondrien (der „Kraftwerke der Zellen“) nimmt ab und die Transkription von Genen wird moduliert. Gemeinsame abschließende Signalwege werden aktiviert mit anschließender Neuronen-Apoptose bei RGC. Ein erhöhter Augeninnendruck und andere Mechanismen scheinen einen sich selbst aufrechterhaltenden Prozess der RGC-Degeneration auszulösen.
Viele Erkenntnisse aus Zellkultur- und Tiermodellen
Neuroprotektion könnte eine wesentliche Rolle bei der Verlangsamung der mit dem Sehverlust verbundenen pathologischen Prozesse spielen und durch den Schutz von RGCs und des Sehnervs zur Verringerung des Sehverlusts bei diesen Patienten beitragen. In den letzten Jahrzehnten ist relativ viel in Tiermodellen zu Wachstumsfaktoren (BDNF, CNTF; NTF), Apoptoseregulatoren (Bxl-2, Bcl-x) oder auch Glutamatverminderung (Memantine) geforscht worden. Dies zeigte in Tiermodellen viele neuroprotektive Ergebnisse. Die Übertragung dieser Erkenntnisse auf Behandlungskonzepte für Menschen (Translation) fehlt bislang.
Es gibt viele Ergebnisse in Tiermodellen, die leicht und standardisiert zu analysieren sind. Wichtig ist aber auch die Translation zum Menschen. Man kann verschiedene Tier- und Zellkulturmodelle unterschiedlichen Alters mit einzelnen Zellen und Zellverbänden zur Imitation des Glaukoms verwenden. Auf zellulärer Ebene können typische Reaktionen der verschiedenen Zellen und Zellverbände der retinalen Ganglienzellen, der Mikroglia sowie der Endothelzellen und Gefäße gesehen und proteomische (die Gesamtheit der Eiweiße der Zellen betreffend) und genetische Veränderungen analysiert werden.Die Modelle eignen sich gut, um die gewünschten Augeninnendrucksituationen zu imitieren und/oder um einen retinalen Ganglienzellverlust zu provozieren. Die Gefäße und Gefäßzellen zeigten Augeninnendruck induzierte Veränderungen der Morphologie und Funktion. Diese Modelle eignen sich auch, um die Wirkung möglicher neuer Medikamente zu testen. Insbesondere die Crystalline, H2S, ßIII-Tubulin und CRMP-5 zeigten auf molekularer Ebene interessante Expressionsverschiebungen bei erhöhtem Augeninnendruck und im weiteren Versuchsverlauf neuroprotektive und/oder sogar regenerative Effekte in vivo und in vitro.
Neurone lassen sich mit Gentherapie verjüngen
Interessant in diesem Kontext und zukunftsträchtig scheint die Fokussierung auf altersabhängige Veränderungen. Forschungsarbeiten an Mitochondrien zeigen sehr interessante Ergebnisse, ebenso Arbeiten zur Epigenetik. Der Begriff Epigenetik definiert alle vererbbaren Veränderungen in der Genexpression, die nicht in der DNA-Sequenz selbst codiert sind. Diese können durch Umwelteinflüsse verändert werden. Diese epigenetischen Muster entstehen unter anderem durch sogenannte Methylierungen, also chemische Gruppen, mit denen das Erbgut während der Embryonalentwicklung bestückt wird. Sie regeln die Aktivität der Gene. Ihr Muster und damit auch die Zellfunktionen verändern sich im Laufe des Lebens, da gewisse Gene nur in bestimmten Lebensabschnitten gebraucht werden. Manche Funktionen gehen beispielsweise im Alter verloren, obwohl die eigentliche Information weiterhin in den Genen verankert ist. Diese Art der zeitweiligen Feinregulierung von Genen fällt in den Bereich der Epigenetik.
In ihrer Studie verjüngten die Forschenden Neurone des zuvor verletzten Sehnervs in alten Mäusen, indem sie mithilfe einer Gentherapie drei sogenannte Transkriptionsfaktoren in den Zellen dauerhaft aktivierten. Das veränderte die Methylierungsmuster auf dem Erbgut so, dass es erneut jenen junger Mäuse glich. Dadurch erlangten die reprogrammierten Zellen offenbar ihre ursprüngliche Fähigkeit zurück, sich nach einer Verletzung regenerieren zu können – im Fall der Experimente nach einer Augenerkrankung oder einer mechanischen Verletzung. Labormäuse mit einem induzierten grünen Star (Glaukom) reagierten nach der Behandlung wieder auf optische Reize und konnten sich immerhin anhand von Mustern in einem Raum orientieren, woraus die Forschenden auf ein wiedergekehrtes Sehvermögen schließen.
Da die Expression dieser Transkriptionsfaktoren auch in Zellkulturexperimenten menschliche Neuronen umprogrammierte, könnte der Ansatz auch potenziell beim Menschen zum Erfolg führen, mutmaßen die Autoren. In einem parallel veröffentlichten Begleitartikel kommt der Autor Andrew Huberman zu dem Schluss, dass diese Studie eine neue Ära der Medizin einleiten würde, gealterte und geschädigte Gehirne therapieren zu können.
Eine Translation zum Menschen muss noch erfolgen.
Fazit
Die Behandlung des Glaukoms besteht aktuell in der Senkung des Augeninnendrucks, um das Fortschreiten der Erkrankung zu verhindern. Bereits eingetretene Schäden lassen sich auf diese Weise bisher nicht reparieren. Doch das Verständnis der Mechanismen, die beim Glaukom zum Absterben der retinalen Ganglienzellen und der Sehnervenfasern führen, ist in den vergangenen Jahren erweitert worden. Das eröffnet den Weg zu neuen Behandlungsansätzen, die auf den Schutz des Sehnervs abzielen. Mit einer Gentherapie scheint sogar eine Regeneration des Sehnervs möglich. Bisher liegen dazu allerdings erst Ergebnisse aus Tiermodellen vor, eine Translation der Erkenntnisse auf den Menschen muss noch erfolgen.
Prof. Dr. Verena Prokosch-Willing
Zentrum für Augenheilkunde der Uniklinik Köln
Kerpener Str. 62
50937 Köln
Tel. 0221 / 478 7720
E-Mail: verena.prokosch-willing@uk-koeln.de
Hornhautveränderungen bei Liderkrankungen
Wie lässt sich das Sehvermögen schützen?
Die Augenoberfläche ist ein sensibles System. Jedes einzelne ihrer Bestandteile – die Lider, die Bindehaut, die Hornhaut und der Tränenfilm – spielt eine wichtige Rolle. So lange alles funktioniert, ist uns gar nicht bewusst, wie komplex dieses Zusammenspiel ist. Doch eine Störung an einem Teil wirkt sich auf alle anderen aus. Das kann gravierende Folgen für das Sehvermögen und das Wohlbefinden des Betroffenen haben.
Die Hornhaut schließt als klare „Windschutzscheibe“ das Auge nach vorne ab. Sie ist ringförmig umgeben von der Bindehaut, einer Schleimhaut, die auch die Innenseite der Augenlider auskleidet. Mit jedem Lidschlag verteilt sie wie ein weiches Tuch den Tränenfilm auf der Hornhaut und entfernt kleine Fremdkörper, die das Auge irritieren könnten. Der Tränenfilm besteht aus mehreren Schichten. Den größten Teil bildet eine in den Tränendrüsen gebildete Flüssigkeit, die Nährstoffe für die Hornhaut enthält, aber auch Abwehrzellen gegen Infektionen. Die Haupttränendrüse liegt in der Augenhöhle seitlich über dem Augapfel, in der Bindehaut gibt es zusätzliche kleine wässrige Tränendrüsen. Damit die Tränen nicht zu schnell verdunsten oder aus dem Auge rollen, werden sie von einer öligen Schicht bedeckt, die von den Meibom-Drüsen im Bereich der Lidkante gebildet wird. Eine innere Schleimschicht bedeckt die Augenoberfläche direkt. Sie macht die wasserabweisende Hornhaut zu einer wasserfreundlichen Schicht, so dass sich der Tränenfilm anlegen kann.
Wie verändert sich die Hornhaut durch Erkrankungen der Lider?
Erkrankungen der Augenlider ziehen oft Veränderungen der Hornhaut nach sich, die nicht übersehen werden sollten. So kann es zu einer Verformung der Hornhaut kommen, die die Sehschärfe mindert. Die Hornhaut kann als Folge einer Liderkrankung ihre Form verändern; Blutgefäße wachsen möglicherweise ein und mindern die Transparenz der Hornhaut; Hornhaut-Geschwüre (Ulzera) können sich bilden und schließlich kann sogar eine Perforation der Hornhaut die Folge der Liderkrankung sein.
Was sind die ursächlichen Mechanismen für Hornhautveränderungen bei Liderkrankungen?
Diese Veränderungen sind mögliche Folgen unterschiedlicher Mechanismen: Tumore können Druck auf die Hornhaut ausüben und sie verformen. Ein fehlender Lidschluss verhindert, dass die Hornhaut feucht gehalten wird. Wimpern können auf der empfindlichen Augenoberfläche scheuern und sie reizen. Schließlich können Infektionen mit Viren oder Bakterien und Entzündungen auf Liderkrankungen zurückgehen.
Lidfehlstellungen: Ektropium, Entropium, Floppy Eyelid
Eine häufige Lidfehlstellung, die Hornhautveränderungen verursacht, ist das Ektropium, bei dem die Kante des Augenlids – meist ist es das Unterlid – nach außen wegkippt. Ein Ektropium kann angeboren sein, es ist oft aber auch die Folge von Alterungsprozessen. Es kann dazu führen, dass das Auge austrocknet, weil das Lid nicht mehr dem Auge anliegt und der Tränenfilm nicht mehr so gut auf dem Auge verteilt wird. Diese Austrocknung kann Schäden an der Hornhautoberfläche bis hin zu Hornhaut-Geschwüren zur Folge haben. Ein chirurgischer Eingriff an den Lidern ist dann der gebotene Weg, damit die Hornhaut heilen kann.
Im Gegensatz zum Ektropium liegt ein Entropium vor, wenn die Lidkante sich nach innen dreht. Das kann die Folge einer Narbenbildung der Bindehaut sein, eine Folge von Alterungsprozessen oder – selten – eine angeborene Fehlstellung. Sind Bindehautnarben die Ursache des Entropiums, muss geklärt werden, wie sie sich gebildet haben. Eine Entzündung aufgrund einer Autoimmunerkrankung (z.B. einem Schleimhautpemphigoid) kann dahinter stecken oder auch die Folgen einer bakteriellen Infektion des Auges. Insbesondere in Gegenden mit mangelnden Möglichkeiten zur Hygiene ist das Trachom häufig, eine Infektion der Augen mit Chlamydien, die die Bindehaut vernarben lässt. Bei einem Entropium drehen sich die Wimpern nach innen und scheuern andauernd auf der Hornhaut. Das ist schmerzhaft und führt zu Hornhautschäden bis hin zur kompletten Hornhauteintrübung. Nur eine frühzeitige Behandlung der Infektion (beim Trachom) oder eine Operation der Lider (beim Entropium im Allgemeinen) kann helfen, das zu verhindern.
Vom „Floppy Eyelid“ ist die Rede, wenn das ganze Oberlid leicht nach außen geklappt werden kann. Der Tarsus, eine schalenförmige Verstärkung des Augenlids, die aus Bindegewebe besteht, ist dann gummiartig verändert. Patienten mit einem Floppy Eyelid Syndrom leiden häufig auch an einem Keratokonus, das ist eine krankhafte Vorwölbung der Hornhaut. Andere Krankheiten, die bei diesen Patienten häufiger beobachtet werden, ist das Glaukom (Grüner Star) und das Schlafapnoe-Syndrom, bei dem es zu Atemaussetzern im Schlaf kommt. Das Flopppy Eyelid Syndrom führt oft zu einem Trockenen Auge, zu oberflächlichen Verletzungen (Hornhauterosionen) und zum Einwachsen von Gefäßen in die geschädigte Hornhaut (Vaskularisation). Oft kommt noch eine Störung der Meibom-Drüsen hinzu. Die Behandlung des Floppy Eyelid Syndroms besteht zum Einen in der Gabe von Tränenersatzmitteln. Nachts kommen Gele und Salben zum Einsatz, die das Austrocknen des Auges verhindern, außerdem können Schutzschilder die Augen in der Nacht geschlossen halten. Patienten mit einer Schlafapnoe, die nachts Beatmungsmasken nutzen, sollten darauf achten, dass die Maske dicht am Gesicht anliegt und dass die Luft nicht durch Lecks entweichen kann. Wenn diese konservative Behandlung nicht ausreicht, kann das Oberlid durch eine Operation gestrafft werden.
Lidtumore
Tumore üben Druck auf den Augapfel aus und verursachen so Sehfehler. Außerdem können sie eine Entzündung der Lidränder und der Bindehaut hervorrufen, eine Blepharokonjunktivitis.
Ein recht häufiger Tumor bei Kindern ist das Blutschwämmchen (Hämangiom). Je nach Größe und Position kann es die Blickachse verdecken und dann die Entwicklung des Sehvermögens gefährden. Wird es nicht behandelt, droht eine einseitige Sehschwäche (Amblyopie). Das Hämangiom wird unter der Gabe von Propranolol, einem Betablocker, kleiner. Bei 40 Prozent der Kinder geht dann auch der durch den Tumor verursachte Astigmatismus zurück. Nur etwa jedes zehnte Kind benötigt nach dieser Behandlung noch eine Amplyopieprophylaxe.
Ein Chalazion, umgangssprachlich Hagelkorn genannt, ist eine chronische Entzündung, die von einer Meibom-Drüse ausgeht. Der Ausgang der Drüse ist dabei verstopft und so entwickelt sich langsam an der Lidkante ein Knötchen, das nicht schmerzhaft ist, das aber die Größe einer Haselnuss erreichen kann. Große Chalazien, die mitten auf dem Oberlid sitzen, können dann einen Astigmatismus verursachen. Da es sich um die Erkrankung der Meibom-Drüse handelt, kann auch die Stabilität des Tränenfilms beeinträchtigt sein, weil die schützende ölige Schicht nicht ausreichend gebildet wird. Das Chalazion lässt sich durch eine Injektion mit Kortikosteroiden oder eine Exzision entfernen. Danach bessern sich auch die Beschwerden der Hornhaut.
Lidinfektionen
Nach einer Infektion mit Windpocken in der Kindheit kann das Varizella-Zoster-Virus unter Umständen in Nervenganglien dauerhaft erhalten bleiben. Ist der 1. Ast des Gesichtsnerven (Nervus Ophthalmicus) davon betroffen, dann wird das Auge in Mitleidenschaft gezogen. Eine Infektion kann bei einer Immunschwäche oder im höheren Alter wieder aktiviert werden. Dann ruft es Entzündungen an Lid, Bindehaut und/oder Hornhaut hervor, sogar eine Uveitis, eine Entzündung im Auge, ist möglich. Die Krankheit ist sehr schmerzhaft und kann Lidfehlstellungen zur Folge haben. Weil der Hornhautnerv geschädigt ist, kann die Hornhautsensibilität reduziert sein. Die Hornhaut wird anfälliger für Verletzungen und auch ihr Heilungsvermögen lässt nach. Auch ein Glaukom kann als Komplikation einer solchen Erkrankung auftreten. Behandelt wird diese Infektion mit antiviralen Medikamenten, die systemisch eingenommen werden; hinzu kommt eventuell noch eine lokale Behandlung mit Kortisonpräparaten. Für Personen ab dem 60. Lebensjahr wird von der STIKO (Ständige Impfkomission) des Robert Koch Instituts eine Zosterschutzimpfung empfohlen.
Lidallergien
Auch Allergien – ob der klassische Heuschnupfen (Rhinokonjuktivitis) oder eine Kontaktallergie – führen zur Entzündung der Bindehaut und der Lider. Sie können in der Folge Schäden an der Hornhaut bis hin zu Geschwüren und Narben auf der Hornhaut auslösen. Weil Allergien oft mit starkem Juckreiz verbunden sind, reiben sich die Betroffenen häufig die Augen, was die Probleme aber noch verstärkt. Abhilfe verschafft, so weit es möglich ist, eine Allergenkarenz. Daneben helfen Augentropfen mit antiallergischen Wirkstoffen (Antihistamine, Mastzellstabilisatoren). Unkonservierte Tränenersatzmittel lindern die Beschwerden zusätzlich, eine Lidkantenpflege ist zu empfehlen und unter Umständen wird auch Kortison oder eine weiterführende entzündungshemmende Therapie mit anderen immunsupprimierenden Substanzen eingesetzt.
Blepharitis / Meibom-Drüsen-Dysfunktion
Schließlich haben auch eine Entzündung der Lider (Blepharitis) und eine Meibom-Drüsen-Dysfunktion nachteilige Auswirkungen auf die Hornhaut. Bei einer Meibom-Drüsen-Dysfunktion sind die Ausführungsgänge der Drüsen zunächst durch verdicktes Sekret verstopft, nach und nach gehen die Drüsen verloren. Dadurch verändern sich Qualität und Quantität des Lipidfilms, der den Tränenfilm schützt. Die Folge ist eine zu rasche Verdunstung der Tränen und ein Austrocknen der Augenoberfläche. Eine kontinuierliche Pflege der Lidkanten umfasst die Erwärmung und Massage der Lider (Lidkantenpflege), damit verdicktes Sekret sich löst und die Ausgänge der Drüsen wieder frei werden. Tränenersatzmittel mit Lipiden und eventuell Augentropfen mit antibiotischer und antientzündlicher Wirkung können die Behandlung bei Bedarf ergänzen.
Fazit
Die Augenoberfläche ist ein komplexes System, bei dem Lider, Bindehaut, Tränenfilm und Hornhaut sich gegenseitig beeinflussen. Erkrankt ein Bestandteil dieses Systems, dann hat das auch für die anderen Strukturen Folgen. Gerade bei Liderkrankungen sind in der Folge oft krankhafte Veränderungen der Hornhaut zu beobachten. Die Behandlung kann je nach Krankheit viel Geduld erfordern. Bei Lidfehlstellungen sind oft Operationen notwendig, die dann auch eine Abheilung der Hornhaut ermöglichen.
Quelle: Prof. Dr. Elisabeth M. Messmer
Augenklinik und Poliklinik des Klinikums der Universität München
Mathildenstr. 8
80336 München
Berufsverband der Augenärzte Deutschlands
Pressereferat
Tersteegenstr. 12
40474 Düsseldorf
Telefon: 0221 / 430 37 00
E-Mail: pressekontakt@augeninfo.de
